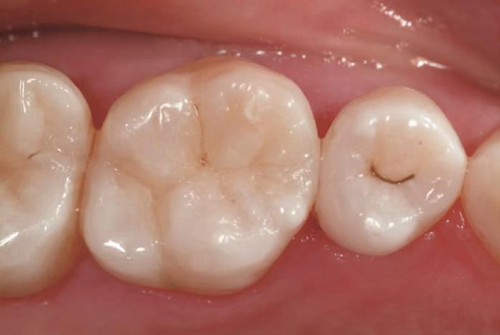
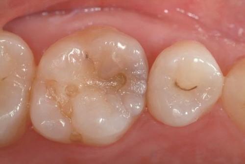
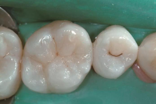
Estelite Posterior (Эстелайт Постериор) - упроченный нанонаполненный универсальный композит с высоким содержанием неорганического наполнителя (84% по весу, 71% по объему), рентгеноконтрастный. Универсальный стоматологический композитный материал для создания очень прочных высокоэстетичных реставраций. Содержащийся в материале сферический субмикронный наполнитель (средний размер частиц 0,2 мкм; фракционный состав частиц от 0,1 до 10,0 мкм), превосходную стойкость блеска и достигающую истирание. Материал удобен в работе т.к. сохраняет форму, не растекается, не липнет к инструменту. Estelite Posterior – самый прочный и эстетичный композит в линейке. Идеально подходит для пломбирования объемных полостей жевательных зубов.
Показания
Материал предназначен для восстановления прав передних и жевательных зубов.
- Пломбирование полов I и II классов по Блэку.
- Создание культа зуба.
Преимущества
- Высокая эстетичность реставрации.

- Быстрое отверждение. Материал полимеризуется за 10 секунд, благодаря удачной RAP-технологии (радикально-усиленная система активации полимеризации).
- Самый прочный композитный линейки. Компрессионная прочность Posterior 443 МПа. Прочность на изгиб 209 МПа.

- Долгое время. Подсветка рабочего стола светильника может работать не менее 90 секунд.
- Удобство в работе. Отличается пластичной консистенцией, легко адаптируется к стенкам занятости, не прилипает к инструменту.

- Эффект хамелеона. Форма и размер частиц наполнителя отличаются высочайшей эстетичностью реставрации. Кроме того, благодаря сферической форме проявления износа антагонистов.
- Хорошая полируемость. Длительное сохранение блеска.
- Благодаря эффекту хамелеона 4 цвета палитры позволяют быстро создавать высокоэстетичные реставрации.
Инструкция по применению
Estelite Posterior - сверхпрочный светоотверждаемый нанонаполненный реставрационный композитный материал для прямой реставрации.
Общие указания
- Не использовать у пациентов с аллергией на метакрилат.
- Избегайте поражений кожи, в глаза, на мягкие ткани.
- Из-за воздействия воды, ротовой жидкости или любого источника жидкости на восстановление.
- Беречь от яркого окружающего света.
- Шприцы эстелайт предназначены для полимеризации галогенной, светодиодной (LED) или плазменной лампой. Длина волны в природе 400-500 нм. В нижеследующей таблице показана взаимосвязь между временем отверждения и толщиной слоя материала.

Вариант использования: реставрация полостей II класса, среднего и занятого населения.

- Произвести очистку зубов от пасты, не допускающей использования фтора.
- Определить оттенок зубов. Выбрать оттенок необходимо в течение пяти минут. Сухие зубы светлее, чем увлажненные.
- Выполнить наложение кофердама (можно использовать ватные валики).
- Производство препарирование мест.

- Провести приклеивание согласно инструкции производителя.
- После применения композитного материала на дно и толщину структуры межзубной матрицы.
- Снять колпачок. Поворачивая рукоятку по часовой стрелке, выдавите пасту на планшет для замешивания. Сразу после этого закройте шприцы колпачком.
- Вносить материал в полость послойно. Каждый слой полимеризовать с помощью лампы в течение необходимого времени (согласно вышеприведенной таблице).
- Завершите восстановление апроксимальной части.

- Завершить реставрацию. В редких случаях в полость структуры структуры с восстановлением естественной анатомии жевательной поверхности.

- Обработайте и отполируйте реставрацию. Для финишной обработки використовуйте алмазные боры мелкой зернистости. Для оценки границ между композиционным потенциалом и наличием зуба работайте с границей границы 12-гранным карбидным бором, без воды и на малой скорости. Используйте металлические или виниловые шлифовальные полосы для обработки проксимальных поверхностей. Для полирования резиновых головок или любых других подходящих полировочных инструментов, таких как PoGoTM (DENTSPLY/Caulk), Sof-LexTM (3M ESPE), Identoflex® HiLuster Dia Polishers (Kerr) или D-FINETM Hybrid Diamond (COSMEDENT, Inc.).
Технические характеристики
- Содержание наполнителя: 82% по весу (71% по объему) кремний-циркониевого и композиционного наполнителя.
- Полимеризация: 10 секунд слой до 2 мм (лампа от 600мВт).
- Усадка: 1,4%.
- Компрессионная прочность: 443МПа.
- Прочность на изгиб: 209МПа.
- Рабочее время: 90 секунд.
- Рентгеноконтрастность: есть.
- Толщина слоя: не более 2 мм.
Показания к применению реставрационной системы Estelite

Комплектация
- Estelite Posterior (оттенок PA1) шприц 4.2г 2мл
- Инструкция по применению
Хранение
Хранить при температуре 0-25оС. Не разрешает передачу прав на выбросы. Избегайте сильного нагрева. Не допускать замораживания. Только для стоматологического применения. Беречь от детей. Срок годности указан на упаковке. Не следует использовать по срокам годности.