Проблемы с зубами могут возникать у людей любого возраста, и их причины могут быть разнообразными: от неправильного питания и вредных привычек до природных заболеваний и анатомических особенностей. Одним из наиболее эффективных способов коррекции эстетики улыбки и устранения недостатков зубов является установка виниров.
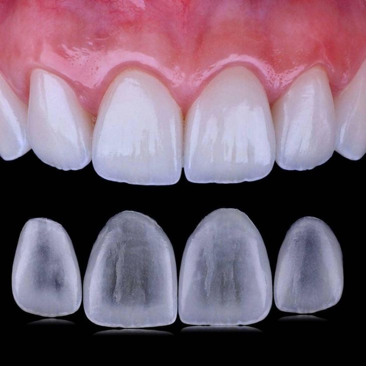
Виниры - это тонкие ортопедические накладки, которые покрывают внешнюю поверхность зуба. Основная цель их установки - улучшение эстетики, однако в некоторых случаях они могут решать и функциональные проблемы, такие как восстановление формы зуба после травмы или лечения кариеса.

Чем виниры отличаются от коронок и композитной реставрации
Виниры покрывают только наружную поверхность зуба, в то время как коронки охватывают зуб со всех сторон. Коронки могут быть выполнены из различных материалов, включая безметалловую керамику и металл, и часто используются для восстановления сильно поврежденных зубов.
Композитная реставрация подразумевает восстановление анатомической формы зуба с помощью пломбировочного материала. Основная задача композитной реставрации - восстановление поврежденного зуба, в то время как виниры в первую очередь предназначены для улучшения внешнего вида. Виниры также требуют меньшего обтачивания зуба по сравнению с коронками, что делает их менее инвазивным вариантом.
Керамические виниры
Керамические виниры - это тонкие накладки, которые изготавливаются из керамики. Они создаются стоматологами путем наложения слоев керамики на основу, что позволяет добиться естественного внешнего вида. Керамические виниры обладают высокой прочностью и устойчивостью к окрашиванию, что делает их идеальными для передних зубов. Они могут служить от 10 до 20 лет при правильном уходе.
Подвиды керамических виниров
- Традиционные виниры: имеют толщину от 0,2 до 0,6 миллиметров и требуют обтачивания зуба для установки.
- Рефракторные виниры: изготавливаются без "скелета" и наносятся на зубы без предварительного обтачивания, что позволяет сохранить больше натуральной эмали.
Виниры из пломбировочного материала
Виниры из композитного материала могут быть двух типов:
-
Накладки из композитного материала - изготавливаются зубным техником и по внешнему виду и функциональности схожи с керамическими винирами. Они могут быть установлены как в кабинете стоматолога, так и в лаборатории.
-
Композитные виниры - накладываются непосредственно в стоматологическом кабинете. Стоматолог шлифует эмаль зуба и накладывает композитный материал, который затем полимеризуется под ультрафиолетовой лампой. Эти виниры менее долговечны и могут требовать замены через 3-5 лет.
Технологии изготовления и установки виниров
Существует две основные технологии изготовления виниров:
-
Прямой метод - используется для создания композитных виниров. Процесс занимает один визит к стоматологу, что делает его более удобным для пациентов.
-
Непрямой метод - виниры изготавливаются в лаборатории по слепку челюстей пациента. Установка таких виниров требует нескольких визитов, но обеспечивает более высокую точность и качество.
Этапы установки виниров
-
Подготовка зубов - лечение и очистка зубов перед установкой виниров. Важно устранить все кариозные поражения и воспалительные процессы.
-
Обезболивание и обтачивание - зубы подготавливаются для установки виниров. В случае использования керамических виниров может потребоваться обтачивание зуба для создания пространства для накладки.
-
Снятие слепка - создается слепок челюстей, который отправляется в лабораторию для изготовления виниров. Врач может использовать как традиционные силиконовые оттиски, так и цифровые сканеры.
-
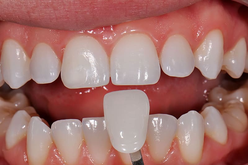
Примерка - стоматолог проверяет, как виниры подходят пациенту, и вносит необходимые коррективы. Это важный этап, так как виниры должны идеально соответствовать форме и цвету зубов.
-
Фиксация - виниры приклеиваются к зубам с помощью специального цемента, который обеспечивает

Уход за винирами
После установки виниров важно соблюдать рекомендации стоматолога по уходу за ними:
- Регулярная гигиена полости рта: чистка зубов дважды в день и использование зубной нити помогут сохранить здоровье десен и предотвратить образование кариеса.
- Избегание жесткой пищи: рекомендуется избегать чрезмерно жесткой или липкой пищи, которая может повредить виниры.
- Регулярные визиты к стоматологу: плановые осмотры помогут контролировать состояние виниров и зубов.
Показания и противопоказания к установке
Показания
Установка виниров может быть рекомендована в следующих случаях:
-
Пломбы на видимых участках зуба: если у пациента есть старые пломбы, которые не соответствуют цвету зубов или имеют неэстетичный вид.
-
Эмаль с нежелательным цветом: виниры могут скрыть желтоватый или сероватый оттенок эмали, который невозможно отбелить.
-
Аномалии в форме зубов: виниры могут исправить неровности, сколы и другие дефекты зубов, улучшая общую эстетику улыбки.
-
Избитые зубы или сколы: виниры могут восстановить внешний вид зубов, которые были повреждены в результате травмы или износа.
Противопоказания
Несмотря на свои преимущества, установка виниров имеет и противопоказания:
-
Отсутствие крепкой эмали: виниры лучше всего фиксируются на здоровой эмали. Если эмаль повреждена или отсутствует, может потребоваться более серьезное восстановление, например, установка коронок.
-
Декомпенсированные жевательные перегрузки: такие состояния, как бруксизм (скрежетание зубами) или чрезмерная стираемость зубов, могут привести к повреждению виниров.
-
Заболевания десен: наличие воспалительных процессов в деснах требует предварительного лечения, прежде чем можно будет рассматривать установку виниров.

Заключение
Виниры становятся все более популярными в эстетической стоматологии, позволяя скрыть недостатки зубов и создать идеальную улыбку. Современные технологии и материалы обеспечивают долговечность и высокое качество результатов, что делает виниры отличным выбором для многих пациентов. Однако перед принятием решения о установке виниров важно проконсультироваться с квалифицированным стоматологом, который сможет оценить состояние зубов и предложить наилучший вариант лечения.
При правильном уходе и соблюдении рекомендаций стоматолога виниры могут стать надежным и эстетически привлекательным решением для улучшения вашей улыбки. Не забывайте о регулярных визитах к стоматологу для контроля состояния виниров и здоровья полости рта в целом.