Мы на
связи:
Стоматологические расходные
материалы и инструменты
235 позиций на 385 456 ₽
Каталог товаров
Стоматологические
Tokuyama Dental - это химический концерн с почти 100-летней историей и четвёртый по величине производитель кремния. Он опирается на огромный опыт и знания, чтобы получить конкурентное преимущество в современной стоматологии.
Компания была основана как Nihon Soda Kogyo Co., Ltd., производителем кальцинированной соды в 1918 году Кацудзиро Иваи. В 1936 году она сменила название на Tokuyama Soda Co., Ltd., а в 1994 году - на свое нынешнее название.

Работая в таком масштабе, миссия компании заключается в том, чтобы удовлетворять требования клиентов, учитывать их мнение при разработке инновационных технологий и обеспечивать соответствие своей продукции высоким стандартам качества. Tokuyama Dental отличается передовыми технологиями и разработкой специальных продуктов, которые улучшают нашу повседневную жизнь. Постоянное стремление к совершенству и инновациям процветает благодаря сотрудничеству компании с дальновидными стоматологами-профессионалами, которые формируют будущее стоматологии. Tokuyama Dental на 100% привержена инновационной стоматологии завтрашнего дня уже сегодня, а инновация, как мы знаем, - это процесс создания продукта, который обеспечивает более эффективный и быстрый способ достижения желаемого результата.
Продукция Tokuyama Dental подвергается тщательному тестированию, которое имитирует внутриротовую среду. Приоритетом номер один является то, чтобы продукты Tokuyama Dental всегда работали на уровне клинических ожиданий или даже превосходили их.
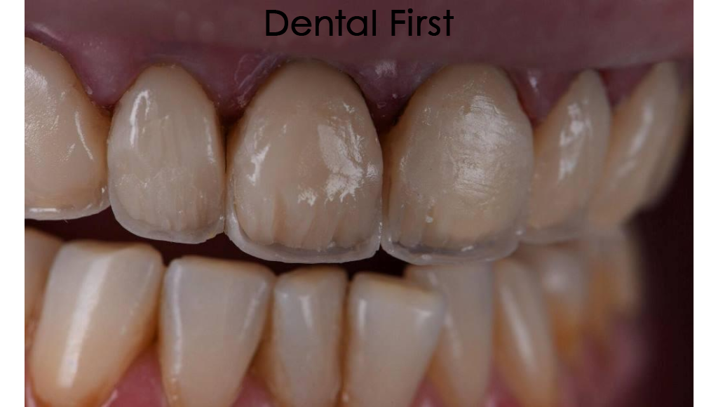
У всех улыбок есть что-то общее, и это цвета, из которых состоят оттенки человеческих зубов. Все оттенки зубов выражают узкую цветовую гамму от красного до желтого. Сфера Манселла справа демонстрирует цветовую гамму зубов. Чтобы соответствовать каждой улыбке, большинству композитных брендов требуется несколько оттенков. Это связано с тем, что большинство современных композитов зависят от цвета красных и желтых красителей, добавляемых в полимерный материал для имитации оттенков зубов. Это означает, что стоматологи должны иметь большой запас различных композитов для обслуживания различных пациентов.
Компания Tokuyama Dental уделяет особое внимание производству, упаковке, хранению и отгрузке продукции, чтобы все атрибуты выпускаемой продукции соответствовали требованиям клиентов.
Tokuyama проявляет максимальную осторожность при производстве, упаковке, хранении и доставке. Ппродукты, чтобы гарантировать, что все атрибуты наших продуктов работают на удовлетворение потребностей клиентов.
Tokuyama Dental стремится к корпоративной социальной ответственности, способствуя экономическому развитию, улучшая при этом качество жизни населения в целом.
Компания работает в Японии, Тайване, Китае, Южной Корее, Сингапуре, Малайзии, Австралии, США, Германии и России.
Широкий ассортимент композитов Tokuyama предлагает идеальные решение для каждого стоматолога, и отличается сферическим наполнителем технологии.
Среди продукции Tokuyama Dental имеются следующие продукции:
1. Композитные материалы
Estelite Posterior, разработанный для оптимальных реставраций жевательных зубов, позволяет устанавливать надежные реставрации с идеальным обращением, надежной физической прочностью и быстрым отверждением (10 секунд). Внедрив запатентованную инновационную систему инициаторов Tokuyama, «Технологию радикальной усиленной фотополимеризации (RAP)», предлагает врачу сократить время отверждения без ущерба для рабочего времени.


Прямые реставрации жевательных зубов (включая окклюзионную поверхность)
Estelite Sigma Quick - универсальный супра-нанонаполненный реставрационный материал с использованием технологии 100% сферического наполнителя. С массой наполнителя 82% (71% по объему), сферические наполнители обеспечивают равномерное рассеивание света, обеспечивающее более щадящее соответствие оттенка и превосходное сочетание с окружающими зубами. Кроме того, сферический наполнители обеспечивают низкий износ композита с течением времени и безопасны для противоположные зубы, вызывая меньший износ противоположных зубов. Estelite Sigma Quick имеет низкую объемную усадку 1,3% и низкую напряжение усадки для снижения послеоперационной чувствительности и сопротивления против маргинальной утечки, обеспечивая длительный комфорт пациента.
Estelite Sigma Quick предлагает 90-секундное рабочее время при окружающего света и имеет запатентованную систему инициатора, которая позволяет быстро полимеризуется с минимальным изменением оттенка с течением времени.
Сферические наполнители Tokuyama обеспечивают исключительную полируемость длительное сохранение блеска. Кроме того, Estelite Sigma Quick. Исключительно универсален, имеет кремообразную текстуру, не прилипает к рукам и чрезвычайно устойчив к оседанию для точного анатомического создания. Доступный в 20 оттенках, один чудо-композит может незаметно смешиваться с несколькими оттенками, устраняя необходимость хранить их на складе каждый оттенок.

Palfique Estelite в полной мере обладает свойственными материалам выраженным блеском, легкой полируемостью и высокой устойчивостью к истиранию. Высокая степень наполненности Palfique Estelite обеспечивает низкий уровень полимеризационного стресса и хорошие прочностные характеристики материала, делая его пригодным для восстановления окклюзионной поверхности боковых зубов и области контактных пунктов. “Хамелеон-эффект” Palfique позволит палитрой всего из 9 оттенков добиться хорошей эстетики реставрации в подавляющем большинстве клинических случаев. Palfique Estilite обладает удобной консистенцией, легко моделируется и не тянется за инструментом. Время полимеризации одного слоя - 30 секунд. Универсальный композиционный материал, прямое восстановление фронтальных и жевательных зубов, включая окклюзионную поверхность и область контактного пункта.

рентгеноконтрастность есть толщина слоя не более 2 мм

Хорошая быстрая полируемость, стойкий эмалевый блеск. «Хамелеон-эффект». Упрощенная схема подбора оттенков реставрации. Хорошая эстетика. Хорошие физико-механические характеристики. Устойчивость к истиранию, низкая абразия зубов-антагонистов. Наличие опалесцентных оттенков, имитирующих оптические свойства всей толщи зуба.

Estelite Asteria - нанонаполненный универсальный композит с высоким содержанием неорганического наполнителя (71%), рентгеноконтрастный. Универсальный стоматологический композитный материал для создания высокоэстетичных реставраций методом двухслойного нанесения. Высокая степень наполненности композита обеспечивает низкую полимеризационную усадку. Содержащийся в материале сферический субмикронный наполнитель (средний размер частиц 0,2 мкм; фракционный состав частиц от 0,1 до 0,3 мкм), обеспечивает превосходную стойкость блеска и устойчивость к истиранию. Материал удобен в работе т.к. сохраняет форму, не растекается, не липнет к инструменту. Самый прочный и эстетичный композит в линейке Estelite. Идеально подходит как для фронтальных, так и для жевательных зубов.

В материале Estelite Asteria использована технология ускорения фотополимеризации (Radical-Amplified Photopolymerization initiator technology - RAP technology).
Технология ускорения фотополимеризации сокращает время полимеризации и обеспечивает более долгое рабочее время материала (90 сек).
Наиболее эффективно использовать в следующих целях:
Рекомендуемая толщина для фронтальных зубов 0,2-0,5мм, для жевательных зубов 0,5-1,0мм.NE-натуральная эмаль, OcE-окклюзионная эмаль, ТЕ-прозрачная эмаль, YE-желтая эмаль, WE-белая эмаль. Оттенки Body превосходно гармонируют с тканями зуба при минимальной ширине эмалевого скоса и обладают достаточной опаковостью для маскировки дисколоритов. Превосходный "хамелеон" эффект. Полируемость за 60 секунд!


Estelite Universal Flow - жидкотекучий композит, который решает все проблемы, с которыми сталкиваются практикующие врачи при работе с обычными текучими материалами.
Доступен в трех вариантах вязкости, что дает возможность выбора для различных показаний Высокое содержание наполнителя для достижения непревзойденной прочности, долговечности и эстетики. Низкая усадка - линейная усадка 2,3%. Отличные манипуляционные навыки.
Текучесть Estelite Universal Flow:
Medium Flow (средняя степень): высокая универсальность применения, меньшая текучесть по сравнению с High Flow.
Estelite Universal Flow High (высокой текучести) - это премиальный низкомодульный композит, он идеален для выполнения адаптивного слоя с выводом на эмаль и в зоны нагрузки.Степень текучести Estelite Universal Flow High оптимизирована для создания тонкого слоя и надежного заполнения всех трещин и поднутрений. Уникальное сочетание высокой текучести с тиксотропностью и устойчивостью к свету рабочего светильника обеспечивает непревзойденное удобство моделирования.
Estelite Universal Flow Medium средней текучести - это премиальный низкомодульный композит. Сферическая форма уникального циркониевого наполнителя Estelite и технология 10-секундной радикал-усиленной полимеризации обеспечивает высокую прочность, низкие показатели усадки и стираемости, сверхлегкую полируемость и устойчивый блеск реставрации. Он обладает очень малой для текучего материала усадкой и высокой прочностью. По эстетике и прочности не уступает композитам пастообразной консистенции и может применяться как основной реставрационный материал при восстановлении объемных полостей всех классов без ограничения.
Estelite Universal Flow Super Low (сверхнизкой текучести) - это премиальный низкомодульный композит. Он обладает оптимальной консистенцией для восстановления бугорков жевательных группы зубов. По эстетике и прочности не уступает композитам пастообразной консистенции и характеризуется своей долговечностью. Эмалевые оттенки Estelite Universal Flow Super Low обладают выраженным эффектом хамелеона.

Estelite Universal Flow Super - обладает не заменимыми свойствами, выбром данного материала являются преимущества такие как:
Рекомендуется для применения при кариозных полостей I, II, III, IV классов.
Товары по брендам
Раздел товаров
Товары из статьи
1928 ₽ Palfique Estelite Paste цв. INC, 3,8 г (Эстелайт Палфик) Estelite Palfique paste (Палфик Эстелайт) - нанонаполненный универсальный композит с высоким содержанием неорганического наполнителя (82% по объему), рентгеноконтрастный. Высокая степень наполненности композита обеспечивает низкую полимеризационную
INC
В корзину
В корзину
1928 ₽ Palfique Estelite Paste цв. C2, 3,8 г (Эстелайт Палфик) Estelite Palfique paste (Палфик Эстелайт) - нанонаполненный универсальный композит с высоким содержанием неорганического наполнителя (82% по объему), рентгеноконтрастный. Высокая степень наполненности композита обеспечивает низкую полимеризационную у
C2
В корзину
В корзину
1928 ₽ Palfique Estelite Paste цв. B2, 3,8 г (Эстелайт Палфик) Estelite Palfique paste (Палфик Эстелайт) - нанонаполненный универсальный композит с высоким содержанием неорганического наполнителя (82% по объему), рентгеноконтрастный. Высокая степень наполненности композита обеспечивает низкую полимеризационную у
B2
В корзину
В корзину
3928 ₽ Эстелайт (Estelite) Сигма Квик шприц А5 3,8г (Токуяма) Estelite Sigma Quick - Японское качество ваших реставраций Estelite Sigma Quick А5 (Эстелайт Сигма Квик А5) - нанонаполненный универсальный композит с высоким содержанием неорганического наполнителя (72%), рентгеноконтрастный от
А5
В корзину
В корзину
4219 ₽ 4688 ₽ Estelite Asteria Syringe B3B шприц 4гр Estelite Asteria - идеальная реставрация фронтальной группыEstelite Asteria B3B (Эстелайт Астериа B3B) - нанонаполненный универсальный композит с высоким содержанием неорганического наполнителя (71%), рентгеноконтрастный. Универсальный эстелайт стома
Акция!B3B
В корзину
В корзину
4688 ₽ Estelite Asteria Syringe A4B шприц 4гр, Tokuyama Dental Estelite Asteria - идеальная реставрация фронтальной группыEstelite Asteria A4B (Эстелайт Астериа A4B) - нанонаполненный универсальный композит с высоким содержанием неорганического наполнителя (71%), рентгеноконтрастный. Универсальный стоматологичес
A4B
В корзину
В корзину
4688 ₽ Estelite Asteria Syringe шпр.TE (прозрачная эмаль), 4гр Estelite Asteria - идеальная реставрация фронтальной группы Estelite Asteria TE (Эстелайт Астериа TE) - нанонаполненный универсальный композит с высоким содержанием неорганического наполнителя (71%), рентгеноконтрастный. Универ
TE
В корзину
В корзину
4688 ₽ Estelite Asteria Syringe шпр.BL ,отбеленный, 4гр Estelite Asteria - идеальная реставрация фронтальной группы Estelite Asteria BL (Эстелайт Астериа BL) – нанонаполненный универсальный композит с высоким содержанием неорганического наполнителя (71%), рентгеноконтрастный. Универ
BL
В корзину
В корзину
4688 ₽ Estelite Asteria Syringe шпр.WE ,белая эмаль, 4гр Estelite Asteria - идеальная реставрация фронтальной группы Estelite Asteria WE (Эстелайт Астериа WE) - нанонаполненный универсальный композит с высоким содержанием неорганического наполнителя (71%), рентгеноконтрастный. Универ
WE
В корзину
В корзину
1928 ₽ Palfique Estelite Paste цв.ОА2, 3,8 г (Эстелайт Палфик) Estelite Palfique paste (Палфик Эстелайт) - нанонаполненный универсальный композит с высоким содержанием неорганического наполнителя (82% по объему), рентгеноконтрастный. Высокая степень наполненности композита обеспечивает
ОА2
В корзину
В корзину
1928 ₽ Palfique Estelite Paste цв. ОА3, 3,8 г (Эстелайт Палфик) Estelite Palfique paste (Палфик Эстелайт) - нанонаполненный универсальный композит с высоким содержанием неорганического наполнителя (82% по объему), рентгеноконтрастный. Высокая степень наполненности композита обеспечивает
ОА3
В корзину
В корзину
1928 ₽ Palfique Estelite Paste цв. А3,5 3,8 г (Эстелайт Палфик) Estelite Palfique paste (Палфик Эстелайт) - нанонаполненный универсальный композит с высоким содержанием неорганического наполнителя (82% по объему), рентгеноконтрастный. Высокая степень наполненности композита обеспечивает
А3,5
В корзину
В корзину
1928 ₽ Palfique Estelite Paste цв. А3, 3,8 г (Эстелайт Палфик) Estelite Palfique paste (Палфик Эстелайт) - нанонаполненный универсальный композит с высоким содержанием неорганического наполнителя (82% по объему), рентгеноконтрастный. Высокая степень наполненности композита обеспечивает
А3
В корзину
В корзину
1928 ₽ Palfique Estelite Paste цв. А2, 3,8 г (Эстелайт Палфик) Estelite Palfique paste (Палфик Эстелайт) - нанонаполненный универсальный композит с высоким содержанием неорганического наполнителя (82% по объему), рентгеноконтрастный. Высокая степень наполненности композита обеспечивает
А2
В корзину
В корзину
1928 ₽ Palfique Estelite Paste цв. А1, 3,8 г (Эстелайт Палфик) Estelite Palfique paste (Палфик Эстелайт) - нанонаполненный универсальный композит с высоким содержанием неорганического наполнителя (82% по объему), рентгеноконтрастный. Высокая степень наполненности композита обеспечивает
А1
В корзину
В корзину
4688 ₽ Estelite Asteria Syringe шпр.А3В, 4гр Estelite Asteria - идеальная реставрация фронтальной группы Estelite Asteria А3В (Эстелайт Астериа А3В) - нанонаполненный универсальный композит с высоким содержанием неорганического наполнителя (71%), рентгеноконтрастный. Унив
А3В
В корзину
В корзину
4688 ₽ Estelite Asteria Syringe шпр.А3,5В, 4гр Estelite Asteria - идеальная реставрация фронтальной группы Estelite Asteria А3,5В (Эстелайт Астериа А3,5В) – нанонаполненный универсальный композит с высоким содержанием неорганического наполнителя (71%), рентгеноконтрастный.
А3,5В
В корзину
В корзину
4688 ₽ Estelite Asteria Syringe шпр.А2В, 4гр Estelite Asteria - идеальная реставрация фронтальной группы Estelite Asteria А2В (Эстелайт Астериа А2В) – нанонаполненный универсальный композит с высоким содержанием неорганического наполнителя (71%), рентгеноконтрастный. Унив
А2В
В корзину
В корзину
4688 ₽ Estelite Asteria Syringe шпр.А1В, 4гр Estelite Asteria - идеальная реставрация фронтальной группы Estelite Asteria А1В (Эстелайт Астериа А1В) – нанонаполненный универсальный композит с высоким содержанием неорганического наполнителя (71%), рентгеноконтрастный. Унив
А1В
В корзину
В корзину
4688 ₽ Estelite Asteria Syringe шпр.YE желтая эмаль, 4гр Estelite Asteria - идеальная реставрация фронтальной группы Estelite Asteria YE (Эстелайт Астериа YE) - нанонаполненный универсальный композит с высоким содержанием неорганического наполнителя (71%), рентгеноконтрастный. Универ
YE
В корзину
В корзину
4688 ₽ Estelite Asteria Syringe шпр.OcE окклюзионная эмаль, 4гр Estelite Asteria - идеальная реставрация фронтальной группы Estelite Asteria OcE (Эстелайт Астериа OcE) – нанонаполненный универсальный композит с высоким содержанием неорганического наполнителя (71%), рентгеноконтрастный. Унив
OcE
В корзину
В корзину
4688 ₽ Estelite asteria syringe шпр.NE, 4гр Estelite Asteria - идеальная реставрация фронтальной группы Estelite Asteria NE (Эстелайт Астериа NE) – нанонаполненный универсальный композит с высоким содержанием неорганического наполнителя (71%), рентгеноконтрастный. Универ
NE
В корзину
В корзину
3416 ₽ Эстелайт (Estelite) Сигма Квик шприц А3 3,8г (Токуяма) Estelite Sigma Quick - Японское качество ваших реставраций Estelite Sigma Quick А3 (Эстелайт Сигма Квик А3) – нанонаполненный универсальный композит с высоким содержанием неорганического наполнителя (72%), рентгеноконтрастный от
А3
В корзину
В корзину
3416 ₽ Эстелайт (Estelite) Сигма Квик шприц А2 3,8г (Токуяма) Estelite Sigma Quick - Японское качество ваших реставраций Estelite Sigma Quick А2 (Эстелайт Сигма Квик А2) – нанонаполненный универсальный композит с высоким содержанием неорганического наполнителя (72%), рентгеноконтрастный от
А2
В корзину
В корзину
3416 ₽ Эстелайт (Estelite) Сигма Квик шприц В1 3,8г (Токуяма) Estelite Sigma Quick - Японское качество ваших реставраций Estelite Sigma Quick В1 (Эстелайт Сигма Квик В1) – нанонаполненный универсальный композит с высоким содержанием неорганического наполнителя (72%), рентгеноконтрастный от
В1
В корзину
В корзину
3416 ₽ Эстелайт (Estelite) Сигма Квик шприц С2 3,8г (Токуяма) Estelite Sigma Quick - Японское качество ваших реставраций Estelite Sigma Quick С2 (Эстелайт Сигма Квик С2) – нанонаполненный универсальный композит с высоким содержанием неорганического наполнителя (72%), рентгеноконтрастный от
С2
В корзину
В корзину
3416 ₽ Эстелайт (Estelite) Сигма Квик шприц С1 3,8г (Токуяма) Estelite Sigma Quick - Японское качество ваших реставраций Estelite Sigma Quick С1 (Эстелайт Сигма Квик С1) – нанонаполненный универсальный композит с высоким содержанием неорганического наполнителя (72%), рентгеноконтрастный от
С1
В корзину
В корзину
3416 ₽ Эстелайт (Estelite) Сигма Квик шприц ВW 3,8г (Токуяма) Estelite Sigma Quick - Японское качество ваших реставраций Estelite Sigma Quick ВW (Эстелайт Сигма Квик ВW) – нанонаполненный универсальный композит с высоким содержанием неорганического наполнителя (72%), рентгеноконтрастный от
ВW
В корзину
В корзину
3416 ₽ Эстелайт (Estelite) Сигма Квик шприц C3 3,8г (Токуяма) Estelite Sigma Quick - Японское качество ваших реставраций Estelite Sigma Quick C3 (Эстелайт Сигма Квик C3) – нанонаполненный универсальный композит с высоким содержанием неорганического наполнителя (72%), рентгеноконтрастный от
C3
В корзину
В корзину
3416 ₽ Эстелайт (Estelite) Сигма Квик шприц WE 3,8г (Токуяма) Estelite Sigma Quick - Японское качество ваших реставраций Estelite Sigma Quick WE (Эстелайт Сигма Квик WE) – нанонаполненный универсальный композит с высоким содержанием неорганического наполнителя (72%), рентгеноконтрастный от
WE
В корзину
В корзину
3833 ₽ Эстелайт (Estelite) Постериор PA3 шприц 4,2 г (Токуяма,) Estelite Posterior (Эстелайт Постериор) - упроченный нанонаполненный универсальный композит с высоким содержанием неорганического наполнителя (84% по весу, 71% по объему), рентгеноконтрастный. Универсальный стоматологический композит
PA3
В корзину
В корзину
3833 ₽ Эстелайт (Estelite) Постериор PA2 шприц 4,2 г (Токуяма) Estelite Posterior (Эстелайт Постериор) - упроченный нанонаполненный универсальный композит с высоким содержанием неорганического наполнителя (84% по весу, 71% по объему), рентгеноконтрастный. Универсальный стоматологически
PA2
В корзину
В корзину
3416 ₽ Эстелайт (Estelite) Сигма Квик шприц В4 3,8г (Токуяма) Estelite Sigma Quick - Японское качество ваших реставраций Estelite Sigma Quick В4 (Эстелайт Сигма Квик В4) - нанонаполненный универсальный композит с высоким содержанием неорганического наполнителя (72%), рентгеноконтрастны
В4
В корзину
В корзину
3416 ₽ Эстелайт (Estelite) Сигма Квик шприц В2 3,8г (Токуяма) Estelite Sigma Quick - Японское качество ваших реставраций Estelite Sigma Quick В2 (Эстелайт Сигма Квик В2) – нанонаполненный универсальный композит с высоким содержанием неорганического наполнителя (72%), рентгеноконтрастный от
В2
В корзину
В корзину
3416 ₽ Эстелайт (Estelite) Сигма Квик шприц ОРА2 3,8г (Токуяма) Estelite Sigma Quick - Японское качество ваших реставраций Estelite Sigma Quick ОРА2 (Эстелайт Сигма Квик ОРА2) - нанонаполненный универсальный композит с высоким содержанием неорганического наполнителя (72%), рентгеноконтрастный
ОРА2
В корзину
В корзину
3416 ₽ Эстелайт (Estelite) Сигма Квик шприц ОА1 3,8г (Токуяма) Estelite Sigma Quick - Японское качество ваших реставраций Estelite Sigma Quick ОА1 (Эстелайт Сигма Квик ОА1) - нанонаполненный универсальный композит с высоким содержанием неорганического наполнителя (72%), рентгеноконтрастный о
ОА1
В корзину
В корзину
3416 ₽ Эстелайт (Estelite) Сигма Квик шприц В3 3,8г (Токуяма) Estelite Sigma Quick - Японское качество ваших реставраций Estelite Sigma Quick В3 (Эстелайт Сигма Квик В3) – нанонаполненный универсальный композит с высоким содержанием неорганического наполнителя (72%), рентгеноконтрастный от
В3
В корзину
В корзину
3416 ₽ Эстелайт (Estelite) Сигма Квик шприц A4 3,8г (Токуяма) Estelite Sigma Quick - Японское качество ваших реставраций Estelite Sigma Quick A4 (Эстелайт Сигма Квик A4) – нанонаполненный универсальный композит с высоким содержанием неорганического наполнителя (72%), рентгеноконтрастный от
A4
В корзину
В корзину
3416 ₽ Эстелайт (Estelite) Сигма Квик шприц CE (Inc.) 3,8г (Токуяма) Estelite Sigma Quick - Японское качество ваших реставраций Токуяма Estelite Sigma Quick CE (Эстелайт Сигма Квик CE Токуяма) - нанонаполненный универсальный композит с высоким содержанием неорганического наполнителя (72%), рентген
CE
В корзину
В корзину
3416 ₽ Эстелайт (Estelite) Сигма Квик шприц А1 3,8г (Токуяма) Estelite Sigma Quick - Японское качество ваших реставраций Estelite Sigma Quick А1 (Эстелайт Сигма Квик А1) – нанонаполненный универсальный композит с высоким содержанием неорганического наполнителя (72%), рентгеноконтрастный от
А1
В корзину
В корзину
3416 ₽ Эстелайт (Estelite) Сигма Квик шприц ОА2, 3,8г (Токуяма) Estelite Sigma Quick - Японское качество ваших реставраций Estelite Sigma Quick ОА2 (Эстелайт Сигма Квик ОА2) - нанонаполненный универсальный композит с высоким содержанием неорганического наполнителя (72%), рентгеноконтрастный от
ОА2
В корзину
В корзину
3416 ₽ Эстелайт (Estelite) Сигма Квик шприц ОА3 3,8г (Токуяма) Estelite Sigma Quick - Японское качество ваших реставраций Estelite Sigma Quick ОА3 (Эстелайт Сигма Квик ОА3) – нанонаполненный универсальный композит с высоким содержанием неорганического наполнителя (72%), рентгеноконтрастный о
ОА3
В корзину
В корзину
3416 ₽ Эстелайт (Estelite) Сигма Квик шприц А3,5 3,8г (Токуяма) Estelite Sigma Quick - Японское качество ваших реставраций Estelite Sigma Quick А3,5 (Эстелайт Сигма Квик А3,5) – нанонаполненный универсальный композит с высоким содержанием неорганического наполнителя (72%), рентгеноконтрастный
А3,5
В корзину
В корзину
Товары из статьи
1928 ₽ Palfique Estelite Paste цв. INC, 3,8 г (Эстелайт Палфик) Estelite Palfique paste (Палфик Эстелайт) - нанонаполненный универсальный композит с высоким содержанием неорганического наполнителя (82% по объему), рентгеноконтрастный. Высокая степень наполненности композита обеспечивает низкую полимеризационную
INC
В корзину
В корзину
1928 ₽ Palfique Estelite Paste цв. C2, 3,8 г (Эстелайт Палфик) Estelite Palfique paste (Палфик Эстелайт) - нанонаполненный универсальный композит с высоким содержанием неорганического наполнителя (82% по объему), рентгеноконтрастный. Высокая степень наполненности композита обеспечивает низкую полимеризационную у
C2
В корзину
В корзину
1928 ₽ Palfique Estelite Paste цв. B2, 3,8 г (Эстелайт Палфик) Estelite Palfique paste (Палфик Эстелайт) - нанонаполненный универсальный композит с высоким содержанием неорганического наполнителя (82% по объему), рентгеноконтрастный. Высокая степень наполненности композита обеспечивает низкую полимеризационную у
B2
В корзину
В корзину
3928 ₽ Эстелайт (Estelite) Сигма Квик шприц А5 3,8г (Токуяма) Estelite Sigma Quick - Японское качество ваших реставраций Estelite Sigma Quick А5 (Эстелайт Сигма Квик А5) - нанонаполненный универсальный композит с высоким содержанием неорганического наполнителя (72%), рентгеноконтрастный от
А5
В корзину
В корзину
4219 ₽ 4688 ₽ Estelite Asteria Syringe B3B шприц 4гр Estelite Asteria - идеальная реставрация фронтальной группыEstelite Asteria B3B (Эстелайт Астериа B3B) - нанонаполненный универсальный композит с высоким содержанием неорганического наполнителя (71%), рентгеноконтрастный. Универсальный эстелайт стома
Акция!B3B
В корзину
В корзину
4688 ₽ Estelite Asteria Syringe A4B шприц 4гр, Tokuyama Dental Estelite Asteria - идеальная реставрация фронтальной группыEstelite Asteria A4B (Эстелайт Астериа A4B) - нанонаполненный универсальный композит с высоким содержанием неорганического наполнителя (71%), рентгеноконтрастный. Универсальный стоматологичес
A4B
В корзину
В корзину
4688 ₽ Estelite Asteria Syringe шпр.TE (прозрачная эмаль), 4гр Estelite Asteria - идеальная реставрация фронтальной группы Estelite Asteria TE (Эстелайт Астериа TE) - нанонаполненный универсальный композит с высоким содержанием неорганического наполнителя (71%), рентгеноконтрастный. Универ
TE
В корзину
В корзину
4688 ₽ Estelite Asteria Syringe шпр.BL ,отбеленный, 4гр Estelite Asteria - идеальная реставрация фронтальной группы Estelite Asteria BL (Эстелайт Астериа BL) – нанонаполненный универсальный композит с высоким содержанием неорганического наполнителя (71%), рентгеноконтрастный. Универ
BL
В корзину
В корзину
4688 ₽ Estelite Asteria Syringe шпр.WE ,белая эмаль, 4гр Estelite Asteria - идеальная реставрация фронтальной группы Estelite Asteria WE (Эстелайт Астериа WE) - нанонаполненный универсальный композит с высоким содержанием неорганического наполнителя (71%), рентгеноконтрастный. Универ
WE
В корзину
В корзину
1928 ₽ Palfique Estelite Paste цв.ОА2, 3,8 г (Эстелайт Палфик) Estelite Palfique paste (Палфик Эстелайт) - нанонаполненный универсальный композит с высоким содержанием неорганического наполнителя (82% по объему), рентгеноконтрастный. Высокая степень наполненности композита обеспечивает
ОА2
В корзину
В корзину
1928 ₽ Palfique Estelite Paste цв. ОА3, 3,8 г (Эстелайт Палфик) Estelite Palfique paste (Палфик Эстелайт) - нанонаполненный универсальный композит с высоким содержанием неорганического наполнителя (82% по объему), рентгеноконтрастный. Высокая степень наполненности композита обеспечивает
ОА3
В корзину
В корзину
1928 ₽ Palfique Estelite Paste цв. А3,5 3,8 г (Эстелайт Палфик) Estelite Palfique paste (Палфик Эстелайт) - нанонаполненный универсальный композит с высоким содержанием неорганического наполнителя (82% по объему), рентгеноконтрастный. Высокая степень наполненности композита обеспечивает
А3,5
В корзину
В корзину
1928 ₽ Palfique Estelite Paste цв. А3, 3,8 г (Эстелайт Палфик) Estelite Palfique paste (Палфик Эстелайт) - нанонаполненный универсальный композит с высоким содержанием неорганического наполнителя (82% по объему), рентгеноконтрастный. Высокая степень наполненности композита обеспечивает
А3
В корзину
В корзину
1928 ₽ Palfique Estelite Paste цв. А2, 3,8 г (Эстелайт Палфик) Estelite Palfique paste (Палфик Эстелайт) - нанонаполненный универсальный композит с высоким содержанием неорганического наполнителя (82% по объему), рентгеноконтрастный. Высокая степень наполненности композита обеспечивает
А2
В корзину
В корзину
1928 ₽ Palfique Estelite Paste цв. А1, 3,8 г (Эстелайт Палфик) Estelite Palfique paste (Палфик Эстелайт) - нанонаполненный универсальный композит с высоким содержанием неорганического наполнителя (82% по объему), рентгеноконтрастный. Высокая степень наполненности композита обеспечивает
А1
В корзину
В корзину
4688 ₽ Estelite Asteria Syringe шпр.А3В, 4гр Estelite Asteria - идеальная реставрация фронтальной группы Estelite Asteria А3В (Эстелайт Астериа А3В) - нанонаполненный универсальный композит с высоким содержанием неорганического наполнителя (71%), рентгеноконтрастный. Унив
А3В
В корзину
В корзину
4688 ₽ Estelite Asteria Syringe шпр.А3,5В, 4гр Estelite Asteria - идеальная реставрация фронтальной группы Estelite Asteria А3,5В (Эстелайт Астериа А3,5В) – нанонаполненный универсальный композит с высоким содержанием неорганического наполнителя (71%), рентгеноконтрастный.
А3,5В
В корзину
В корзину
4688 ₽ Estelite Asteria Syringe шпр.А2В, 4гр Estelite Asteria - идеальная реставрация фронтальной группы Estelite Asteria А2В (Эстелайт Астериа А2В) – нанонаполненный универсальный композит с высоким содержанием неорганического наполнителя (71%), рентгеноконтрастный. Унив
А2В
В корзину
В корзину
4688 ₽ Estelite Asteria Syringe шпр.А1В, 4гр Estelite Asteria - идеальная реставрация фронтальной группы Estelite Asteria А1В (Эстелайт Астериа А1В) – нанонаполненный универсальный композит с высоким содержанием неорганического наполнителя (71%), рентгеноконтрастный. Унив
А1В
В корзину
В корзину
4688 ₽ Estelite Asteria Syringe шпр.YE желтая эмаль, 4гр Estelite Asteria - идеальная реставрация фронтальной группы Estelite Asteria YE (Эстелайт Астериа YE) - нанонаполненный универсальный композит с высоким содержанием неорганического наполнителя (71%), рентгеноконтрастный. Универ
YE
В корзину
В корзину
4688 ₽ Estelite Asteria Syringe шпр.OcE окклюзионная эмаль, 4гр Estelite Asteria - идеальная реставрация фронтальной группы Estelite Asteria OcE (Эстелайт Астериа OcE) – нанонаполненный универсальный композит с высоким содержанием неорганического наполнителя (71%), рентгеноконтрастный. Унив
OcE
В корзину
В корзину
4688 ₽ Estelite asteria syringe шпр.NE, 4гр Estelite Asteria - идеальная реставрация фронтальной группы Estelite Asteria NE (Эстелайт Астериа NE) – нанонаполненный универсальный композит с высоким содержанием неорганического наполнителя (71%), рентгеноконтрастный. Универ
NE
В корзину
В корзину
3416 ₽ Эстелайт (Estelite) Сигма Квик шприц А3 3,8г (Токуяма) Estelite Sigma Quick - Японское качество ваших реставраций Estelite Sigma Quick А3 (Эстелайт Сигма Квик А3) – нанонаполненный универсальный композит с высоким содержанием неорганического наполнителя (72%), рентгеноконтрастный от
А3
В корзину
В корзину
3416 ₽ Эстелайт (Estelite) Сигма Квик шприц А2 3,8г (Токуяма) Estelite Sigma Quick - Японское качество ваших реставраций Estelite Sigma Quick А2 (Эстелайт Сигма Квик А2) – нанонаполненный универсальный композит с высоким содержанием неорганического наполнителя (72%), рентгеноконтрастный от
А2
В корзину
В корзину
3416 ₽ Эстелайт (Estelite) Сигма Квик шприц В1 3,8г (Токуяма) Estelite Sigma Quick - Японское качество ваших реставраций Estelite Sigma Quick В1 (Эстелайт Сигма Квик В1) – нанонаполненный универсальный композит с высоким содержанием неорганического наполнителя (72%), рентгеноконтрастный от
В1
В корзину
В корзину
3416 ₽ Эстелайт (Estelite) Сигма Квик шприц С2 3,8г (Токуяма) Estelite Sigma Quick - Японское качество ваших реставраций Estelite Sigma Quick С2 (Эстелайт Сигма Квик С2) – нанонаполненный универсальный композит с высоким содержанием неорганического наполнителя (72%), рентгеноконтрастный от
С2
В корзину
В корзину
3416 ₽ Эстелайт (Estelite) Сигма Квик шприц С1 3,8г (Токуяма) Estelite Sigma Quick - Японское качество ваших реставраций Estelite Sigma Quick С1 (Эстелайт Сигма Квик С1) – нанонаполненный универсальный композит с высоким содержанием неорганического наполнителя (72%), рентгеноконтрастный от
С1
В корзину
В корзину
3416 ₽ Эстелайт (Estelite) Сигма Квик шприц ВW 3,8г (Токуяма) Estelite Sigma Quick - Японское качество ваших реставраций Estelite Sigma Quick ВW (Эстелайт Сигма Квик ВW) – нанонаполненный универсальный композит с высоким содержанием неорганического наполнителя (72%), рентгеноконтрастный от
ВW
В корзину
В корзину
3416 ₽ Эстелайт (Estelite) Сигма Квик шприц C3 3,8г (Токуяма) Estelite Sigma Quick - Японское качество ваших реставраций Estelite Sigma Quick C3 (Эстелайт Сигма Квик C3) – нанонаполненный универсальный композит с высоким содержанием неорганического наполнителя (72%), рентгеноконтрастный от
C3
В корзину
В корзину
3416 ₽ Эстелайт (Estelite) Сигма Квик шприц WE 3,8г (Токуяма) Estelite Sigma Quick - Японское качество ваших реставраций Estelite Sigma Quick WE (Эстелайт Сигма Квик WE) – нанонаполненный универсальный композит с высоким содержанием неорганического наполнителя (72%), рентгеноконтрастный от
WE
В корзину
В корзину
3833 ₽ Эстелайт (Estelite) Постериор PA3 шприц 4,2 г (Токуяма,) Estelite Posterior (Эстелайт Постериор) - упроченный нанонаполненный универсальный композит с высоким содержанием неорганического наполнителя (84% по весу, 71% по объему), рентгеноконтрастный. Универсальный стоматологический композит
PA3
В корзину
В корзину
3833 ₽ Эстелайт (Estelite) Постериор PA2 шприц 4,2 г (Токуяма) Estelite Posterior (Эстелайт Постериор) - упроченный нанонаполненный универсальный композит с высоким содержанием неорганического наполнителя (84% по весу, 71% по объему), рентгеноконтрастный. Универсальный стоматологически
PA2
В корзину
В корзину
3416 ₽ Эстелайт (Estelite) Сигма Квик шприц В4 3,8г (Токуяма) Estelite Sigma Quick - Японское качество ваших реставраций Estelite Sigma Quick В4 (Эстелайт Сигма Квик В4) - нанонаполненный универсальный композит с высоким содержанием неорганического наполнителя (72%), рентгеноконтрастны
В4
В корзину
В корзину
3416 ₽ Эстелайт (Estelite) Сигма Квик шприц В2 3,8г (Токуяма) Estelite Sigma Quick - Японское качество ваших реставраций Estelite Sigma Quick В2 (Эстелайт Сигма Квик В2) – нанонаполненный универсальный композит с высоким содержанием неорганического наполнителя (72%), рентгеноконтрастный от
В2
В корзину
В корзину
3416 ₽ Эстелайт (Estelite) Сигма Квик шприц ОРА2 3,8г (Токуяма) Estelite Sigma Quick - Японское качество ваших реставраций Estelite Sigma Quick ОРА2 (Эстелайт Сигма Квик ОРА2) - нанонаполненный универсальный композит с высоким содержанием неорганического наполнителя (72%), рентгеноконтрастный
ОРА2
В корзину
В корзину
3416 ₽ Эстелайт (Estelite) Сигма Квик шприц ОА1 3,8г (Токуяма) Estelite Sigma Quick - Японское качество ваших реставраций Estelite Sigma Quick ОА1 (Эстелайт Сигма Квик ОА1) - нанонаполненный универсальный композит с высоким содержанием неорганического наполнителя (72%), рентгеноконтрастный о
ОА1
В корзину
В корзину
3416 ₽ Эстелайт (Estelite) Сигма Квик шприц В3 3,8г (Токуяма) Estelite Sigma Quick - Японское качество ваших реставраций Estelite Sigma Quick В3 (Эстелайт Сигма Квик В3) – нанонаполненный универсальный композит с высоким содержанием неорганического наполнителя (72%), рентгеноконтрастный от
В3
В корзину
В корзину
3416 ₽ Эстелайт (Estelite) Сигма Квик шприц A4 3,8г (Токуяма) Estelite Sigma Quick - Японское качество ваших реставраций Estelite Sigma Quick A4 (Эстелайт Сигма Квик A4) – нанонаполненный универсальный композит с высоким содержанием неорганического наполнителя (72%), рентгеноконтрастный от
A4
В корзину
В корзину
3416 ₽ Эстелайт (Estelite) Сигма Квик шприц CE (Inc.) 3,8г (Токуяма) Estelite Sigma Quick - Японское качество ваших реставраций Токуяма Estelite Sigma Quick CE (Эстелайт Сигма Квик CE Токуяма) - нанонаполненный универсальный композит с высоким содержанием неорганического наполнителя (72%), рентген
CE
В корзину
В корзину
3416 ₽ Эстелайт (Estelite) Сигма Квик шприц А1 3,8г (Токуяма) Estelite Sigma Quick - Японское качество ваших реставраций Estelite Sigma Quick А1 (Эстелайт Сигма Квик А1) – нанонаполненный универсальный композит с высоким содержанием неорганического наполнителя (72%), рентгеноконтрастный от
А1
В корзину
В корзину
3416 ₽ Эстелайт (Estelite) Сигма Квик шприц ОА2, 3,8г (Токуяма) Estelite Sigma Quick - Японское качество ваших реставраций Estelite Sigma Quick ОА2 (Эстелайт Сигма Квик ОА2) - нанонаполненный универсальный композит с высоким содержанием неорганического наполнителя (72%), рентгеноконтрастный от
ОА2
В корзину
В корзину
3416 ₽ Эстелайт (Estelite) Сигма Квик шприц ОА3 3,8г (Токуяма) Estelite Sigma Quick - Японское качество ваших реставраций Estelite Sigma Quick ОА3 (Эстелайт Сигма Квик ОА3) – нанонаполненный универсальный композит с высоким содержанием неорганического наполнителя (72%), рентгеноконтрастный о
ОА3
В корзину
В корзину
3416 ₽ Эстелайт (Estelite) Сигма Квик шприц А3,5 3,8г (Токуяма) Estelite Sigma Quick - Японское качество ваших реставраций Estelite Sigma Quick А3,5 (Эстелайт Сигма Квик А3,5) – нанонаполненный универсальный композит с высоким содержанием неорганического наполнителя (72%), рентгеноконтрастный
А3,5
В корзину
В корзину
Кредит и рассрочка
Не откладывайте покупку
Обмен и возврат
Подробная инструкция
Бонусная программа
Покупайте со скидкой
Вопросы и ответы
Часто задаваемые вопросы
Способы оплаты
С нами - удобно
Подпишитесь на рассылку Dental First и получите промокод на скидку 5%!